Professores:
-Prof. Thiago Bezerra
-Profa.Larissa Paulino de Figueiredo
-Prof. Rafael Lucena
Carga horária: 150h
Duração: 10 meses
Dias da semana: Sexta (tarde e noite) Sábado (manhã e tarde)
Objetivo do curso:
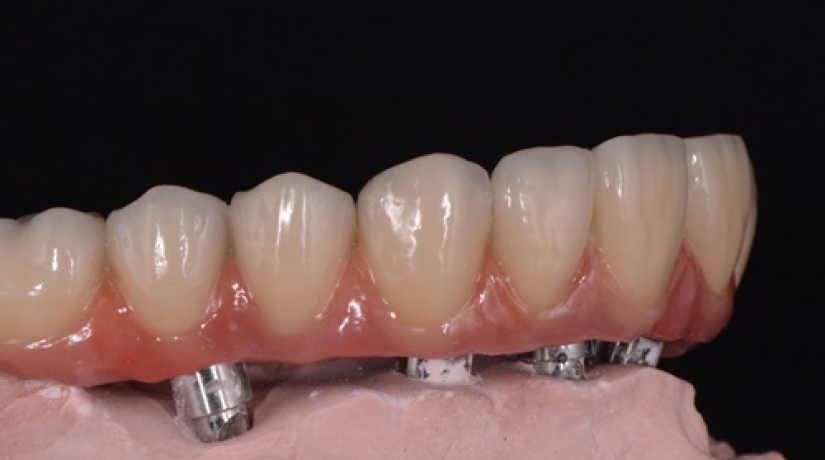
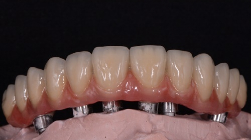
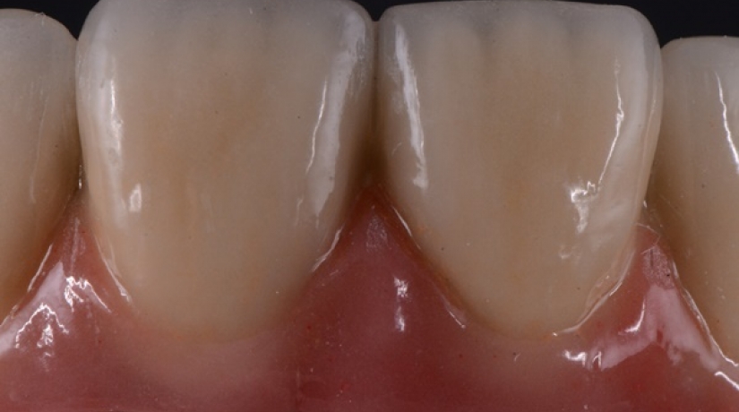
Capacitar cirurgiões-dentistas a realizarem reabilitações em Prótese sobre implante. Existe uma alta demanda de pacientes com necessidade de prótese sobre Implante.
Diferenciais:
Método de ensino objetivo, eficaz e eficiente. Direto ao ponto!
SOBRE O PROFESSOR ALEXANDRE DINIZ
Mestre em Odontologia pela UFRN - Área de concentração em Prótese Dentária; Especialista em Prótese Dentária pela ABO-PB; Atua no DEPTO. de Odontologia Restauradora da UFPB; Consultor do Laboratório Techlab Atua em clínica odontológica privada há mais de 20 anos. Possui cursos Técnicos na área de Cerâmica Odontológica.
*A Faculdade Coesp se reserva o direito de só iniciar a turma caso haja número suficiente de inscritos. O aluno matriculado poderá, em conformidade com as Normas Acadêmicas e Financeiras da Faculdade Coesp, optar por outro curso para o qual houver vagas remanescentes ou receber a devolução do valor correspondente à taxa de matrícula, caso o curso não seja realizado.

